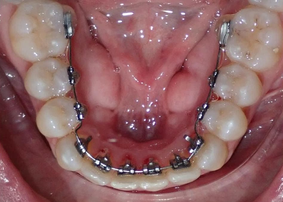
La Ortodoncia lingual es ideal para aquellos pacientes que desean que su tratamiento pase desapercibido. Este tratamiento es totalmente invisible, y son aparatos que van sobre la cara interna de los dientes.

request an appointment